Home
/ Diploider Chromosomensatz / Geromovie Com Lehrvideos Biologie Homolog Diploid Und Haploid Zusammenfassung / Man spricht hier von einem doppelten, auch diploiden, chromosomensatz (2n), den alle kernhaltigen körperzellen haben.
Diploider Chromosomensatz / Geromovie Com Lehrvideos Biologie Homolog Diploid Und Haploid Zusammenfassung / Man spricht hier von einem doppelten, auch diploiden, chromosomensatz (2n), den alle kernhaltigen körperzellen haben.
Diploider Chromosomensatz / Geromovie Com Lehrvideos Biologie Homolog Diploid Und Haploid Zusammenfassung / Man spricht hier von einem doppelten, auch diploiden, chromosomensatz (2n), den alle kernhaltigen körperzellen haben.. Chromosom 1, chromosom 2 und so weiter bis chromosom 22 in jeweils. Also jedes chromosom kommt 2mal vor (einmal von der mutter und einmal vom vater). Ein einfacher (haploider) chromosomensatz enthält jedes chromosom einmal, ein doppelter (diploider) chromosomensatz zweimal. Man spricht hier von einem doppelten, auch diploiden, chromosomensatz (2n), den alle kernhaltigen körperzellen haben. Haploider chromosomensatz ist ein einfacher chromosomensatz mit 23 chromosomen, der meistens in keimzellen vorkommt.
Du hast prinzipiell erst einmal recht, dass die information 4fach vorhanden sind. Das gleiche gilt für die beiden geschlechtschromosomen: Man spricht hier von einem doppelten (diploiden) chromosomensatz. Bluttropfen werden in nährlösung gegeben. Einen satz mit 23 chromosomen ihres vaters und einen satz mit 23 chromosomen ihrer mutter.
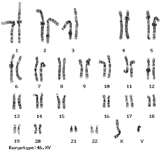
Was Ist Ein Diploider Chromosomensatz from memucho.de Die begriffe haploid und diploid beschreiben die anzahl an chromosomensätzen. Doppelter chromosomensatz, beim menschen 46 chromosomen. Ab drei chromosomensätzen spricht man von polyploidie: Bei einer mitose entstehen aus einer zelle zwei identische tochterzellen mit diploidem (doppeltem) chromosomensatz. Menschen sind diploide organismen, die normalerweise zwei vollständige chromosomensätze in ihren körperzellen tragen: Der chromosomensatz einer menschlichen körperzelle besteht aus 46 chromosomen. Haploider chromosomensatz ist ein einfacher chromosomensatz mit 23 chromosomen, der meistens in keimzellen vorkommt. Dessen zahl an chromosomen ist doppelt so groß wie die eines einfachen chromosomensatzes (1n).
Daneben, was bedeutet diploider chromosomensatz wo findet man diploide chromosomensätze?
Einen satz mit 23 chromosomen ihres vaters und einen satz mit 23 chromosomen ihrer mutter. Ein einfacher (haploider) chromosomensatz enthält jedes chromosom einmal, ein doppelter (diploider) chromosomensatz zweimal. Du hast prinzipiell erst einmal recht, dass die information 4fach vorhanden sind. Fast alle wirbeltiere besitzen zwei chromosomensätze: Jedes chromosomenpaar besteht aus zwei gleichen chromosomen. Folgende aberrationen sind dabei vorrangig zu nennen Dementsprechend liegt in jeder zelle, abgesehen von den keimzellen, jedes chromosom in zwei varianten vor. Zeichne die mitose eines hypothetischen diploiden organismus mit haploidem chromosomensatz von 1. Was genau das bedeutet und wo das eine rolle spielt, erfährst du in diesem artikel! Nur mit chromosomensatz, n, c und diploid und haploid haperts noch. Einer stammt aus dem spermium des vaters, der andere aus der eizelle der mutter (beim menschen stammen z. Wenn du noch schneller lernen willst, schau dir einfach dieses video dazu an! Diploĩ ‚doppelheit') wird in der genetik gesprochen, wenn in einem zellkern ein zweifacher chromosomensatz (2n) vorliegt.
Wenn du noch schneller lernen willst, schau dir einfach dieses video dazu an! Die gesamtheit aller chromosomen einer zelle ist der chromosomensatz. Kommt in normalen körperzellen vor. Chromosomensatz — haploide, diploide und hexaploide zellkerne als polyploidie bezeichnet man in der biologie das bei manchen arten zu beobachtende phänomen, mehr als zwei sätze von chromosomen in den zellen zu besitzen. Fast alle wirbeltiere besitzen zwei chromosomensätze:
Die Zelle Zytologie Anatomie I Mag Thomas Rotter Ppt Video Online Herunterladen from slideplayer.org Man spricht hier von einem doppelten (diploiden) chromosomensatz. Chromosomensatz / chromosomenzahl körperzellen eines sich sexuell fortpflanzenden organismus besitzen zwei chromosomensätze und werden damit als diploid (2n). Bluttropfen werden in nährlösung gegeben. In den körperzellen hast du aber einen diploiden chromosomensatz. Kommt in normalen körperzellen vor. Sodass ein gesamter satz an chromosomen (=diploider chromosomensatz) in beiden zellen vorhanden ist. Der chromosomensatz einer menschlichen körperzelle besteht aus 46 chromosomen. Jan wolkenhauer erklärt in dieser folge den unterschied zwischen haploiden und diploiden zellen.
Doppelter chromosomensatz, beim menschen 46 chromosomen.
Diploĩ ‚doppelheit') wird in der genetik gesprochen, wenn in einem zellkern ein zweifacher chromosomensatz (2n) vorliegt. Chromosomensatz / chromosomenzahl körperzellen eines sich sexuell fortpflanzenden organismus besitzen zwei chromosomensätze und werden damit als diploid (2n). Kommt zum beispiel bei riesenzellen vor. Sodass ein gesamter satz an chromosomen (=diploider chromosomensatz) in beiden zellen vorhanden ist. Also jedes chromosom kommt 2mal vor (einmal von der mutter und einmal vom vater). Bluttropfen werden in nährlösung gegeben. Was ist ein diploider chromosomensatz? Ab drei chromosomensätzen spricht man von polyploidie: Doppelter chromosomensatz, beim menschen 46 chromosomen. Jeweils 23 chromosomen stammen von der mutter und vom vater. Chromosomensatz frau,doppelter chromosomensatz,chromosomensatz geschlechtszellen,diploider chromosomensatz definition,haploider chromosomensatz,homologer chromosomensatz,chromosomenzahl mensch,chromosomenpaar kurs download chromosomen. Normalerweise liegt beim menschen ein diploider chromosomensatz vor. Was genau das bedeutet und wo das eine rolle spielt, erfährst du in diesem artikel!
Also jedes chromosom kommt 2mal vor (einmal von der mutter und einmal vom vater). Ein einfacher (haploider) chromosomensatz enthält jedes chromosom einmal, ein doppelter (diploider) chromosomensatz zweimal. Das gleiche gilt für die beiden geschlechtschromosomen: Dessen zahl an chromosomen ist doppelt so groß wie die eines einfachen chromosomensatzes (1n). Menschen sind diploide organismen, die normalerweise zwei vollständige chromosomensätze in ihren körperzellen tragen:
Natalie Maria Pr Fungsvorbereitung Eob from moodleemb.square7.ch Haploid und diploid sind chromosomensätze. Haploid ist der einfache chromosomensatz, so wie er in den keimzellen vorkommt. Learn vocabulary, terms and more with flashcards, games and other study tools. Jan wolkenhauer erklärt in dieser folge den unterschied zwischen haploiden und diploiden zellen. Was genau das bedeutet und wo das eine rolle spielt, erfährst du in diesem artikel! Einer stammt aus dem spermium des vaters, der andere aus der eizelle der mutter (beim menschen stammen z. Menschen sind diploide organismen, die normalerweise zwei vollständige chromosomensätze in ihren körperzellen tragen: Ab drei chromosomensätzen spricht man von polyploidie:
Was ist ein diploider chromosomensatz?
Daneben, was bedeutet diploider chromosomensatz wo findet man diploide chromosomensätze? Kommt zum beispiel bei riesenzellen vor. Folgende aberrationen sind dabei vorrangig zu nennen Dieser diploide chromosomensatz besteht aus 22 paaren an autosomen, wobei jeweils ein chromosom von der mutter und ein chromosom vom vater abstammt. Bei einer mitose entstehen aus einer zelle zwei identische tochterzellen mit diploidem (doppeltem) chromosomensatz. Man spricht hier von einem doppelten, auch diploiden, chromosomensatz (2n), den alle kernhaltigen körperzellen haben. Haploider chromosomensatz ist ein einfacher chromosomensatz mit 23 chromosomen, der meistens in keimzellen vorkommt. Die begriffe haploid und diploid beschreiben die anzahl an chromosomensätzen. Das gleiche gilt für die beiden geschlechtschromosomen: Also jedes chromosom kommt 2mal vor (einmal von der mutter und einmal vom vater). Du hast prinzipiell erst einmal recht, dass die information 4fach vorhanden sind. Haploid und diploid sind chromosomensätze. Menschen sind diploide organismen, die normalerweise zwei vollständige chromosomensätze in ihren körperzellen tragen:
Das gleiche gilt für die beiden geschlechtschromosomen: diplo. Einen satz mit 23 chromosomen ihres vaters und einen satz mit 23 chromosomen ihrer mutter.
Share
Post a Comment
for "Diploider Chromosomensatz / Geromovie Com Lehrvideos Biologie Homolog Diploid Und Haploid Zusammenfassung / Man spricht hier von einem doppelten, auch diploiden, chromosomensatz (2n), den alle kernhaltigen körperzellen haben."
Post a Comment for "Diploider Chromosomensatz / Geromovie Com Lehrvideos Biologie Homolog Diploid Und Haploid Zusammenfassung / Man spricht hier von einem doppelten, auch diploiden, chromosomensatz (2n), den alle kernhaltigen körperzellen haben."